Tag: Health
Breakthrough in Telehealth Prescriptions for Stimulants and Addiction Treatment
Federal officials recently announced a breakthrough in telehealth prescriptions for stimulants and addiction treatment. The Drug Enforcement Agency (DEA) has extended the temporary rules that allowed health providers to prescribe drugs for opioid addiction...
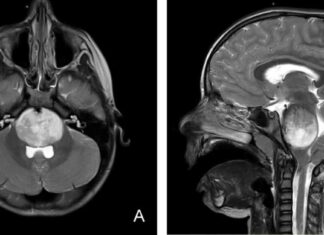
CAR-T Therapy Shows Promise in Treating Aggressive Brain Tumors in Young Patients
Michelle Monje-Deisseroth, a medical student about 20 years ago, treated patients with a type of brain tumor called diffuse intrinsic pontine gliomas, or DIPG. These tumors are difficult to treat because they wrap around...
Global Measles Cases Increase by 20% in 2023: New Report
Measles vaccination coverage has not yet returned to pre-Covid levels globally, leading to a 20% increase in measles cases in 2023 compared to the previous year, as per a recent report from the World...
Understanding Guttate Psoriasis in Adults: Causes, Symptoms, Treatment
Guttate psoriasis is a skin condition that can affect people of all ages, races, and genders, but it is most commonly seen in children and individuals under 30 years old. It affects both men...
Understanding Cachexia in Cancer Patients: Causes, Symptoms, and Treatment Options
Cancer cachexia is a condition that causes weakness, fatigue, and loss of muscle and fat in cancer patients. Unlike malnutrition, it cannot be reversed with nutrition support alone. It is most common in people...
Pharmalittle: GSK Leaves BIO, AbbVie Schizophrenia Drug Fails & More – Pharma News Update
Good morning, everyone, and welcome to a new week of work. We hope you had a restful weekend and are ready to dive back into the routine of online meetings and deadlines. Let's start...
Ending 23andMe’s Drug Discovery Dream: What Went Wrong?
23andMe, the genetics company that many people have been excited about, recently made a big announcement. The company has decided to stop working on creating new medicines and will be letting go of 40%...
Understanding and Addressing Cardiovascular Health Disparities: Insights from Recent Studies
The recent election results may have shifted focus away from diversity, equity, and inclusion, but new research papers emphasize the importance of addressing health disparities based on socioeconomic factors. These papers, set to be...
Navigating Sickle Cell Pain, Loss, and Survival in America
Today, I want to talk about Tammy Clemons, a woman who is navigating the challenges of living with sickle cell disease in America. Tammy's story is one of pain, loss, and survival, and it...
GSK Withdraws from BIO, Signaling Major Setback for Lobbying Group
Pharmaceutical company GSK has announced its decision to leave the Biotechnology Innovation Organization (BIO), which is the largest trade group in the biotechnology industry. This move by GSK marks a significant setback for the...
RFK Jr. Seeks Public Input for Trump’s Health Team Selection
President-elect Donald Trump and his team face the daunting task of appointing 4,000 individuals to staff his administration before Inauguration Day. Robert F. Kennedy Jr., a Trump campaign surrogate and advocate for "Make America...
Seminal Moment for Science Journalism: A Letter from the Executive Editor
Dear Readers,I have written to you before to talk about the importance of subscribing to STAT for our comprehensive coverage of health and medicine. Today, I feel compelled to reiterate this message as we...
















