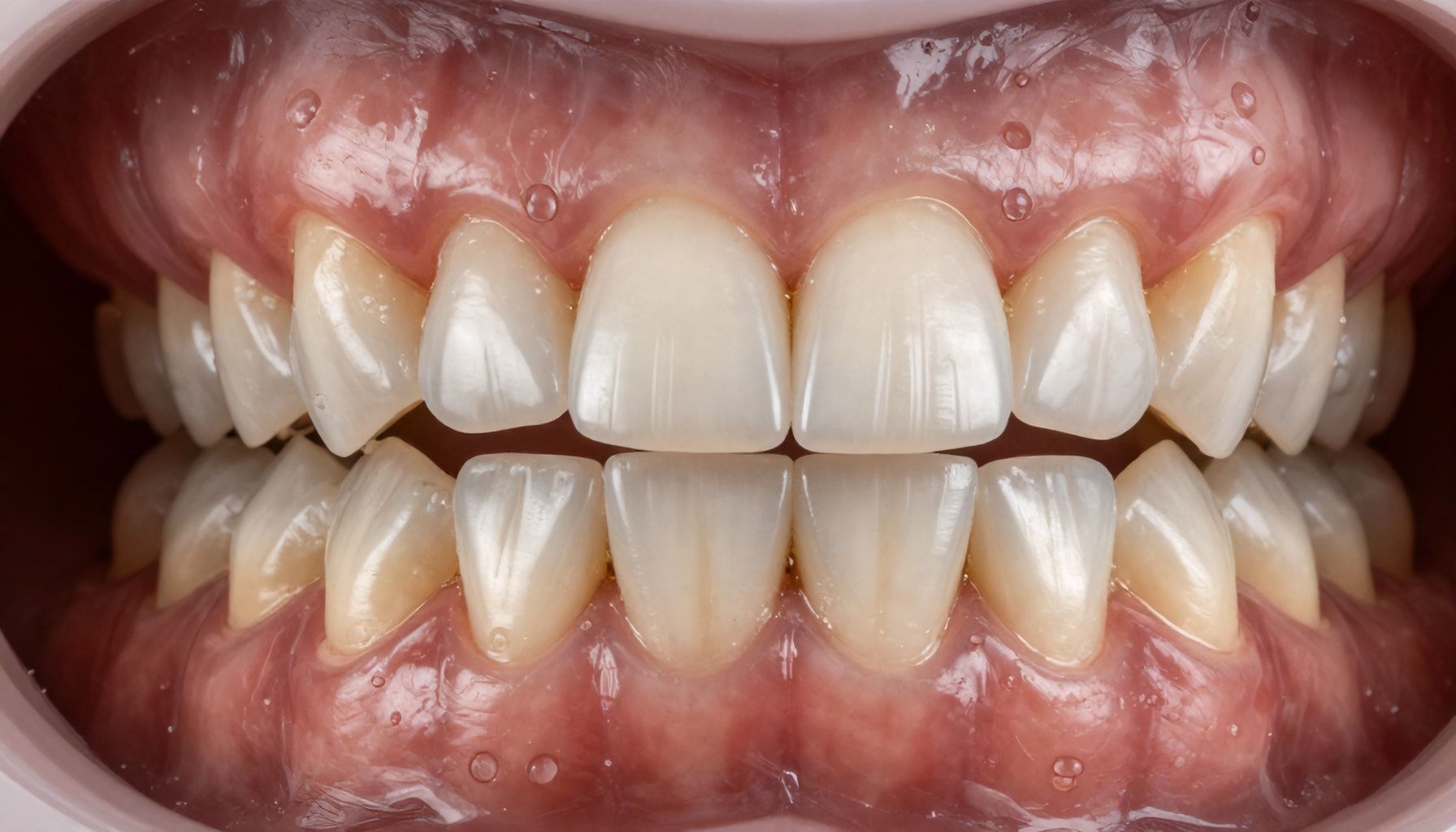
I’ve seen a lot of dental trends over the years—some fizzled out, some stuck around, and a few actually delivered on their promises. The zirconia bridge? That’s one of the rare ones that’s earned its reputation. It’s not just another flashy solution; it’s a game-changer for patients who need durable, natural-looking tooth replacements. Forget the old-school metal frameworks or the fragile porcelain options that chip at the worst possible time. Zirconia bridges bring strength and aesthetics together in a way that’s hard to beat.
What makes them so special? It’s all in the material. Zirconia is tough—think nearly as strong as metal but with the translucency of natural teeth. That means no more worrying about unsightly dark lines at the gums or brittle restorations that crack under pressure. I’ve watched this tech evolve, and the current iterations? They’re nearly indistinguishable from real teeth. And for dentists, they’re a dream to work with—minimal prep, predictable results, and longevity that keeps patients smiling for years.
If you’re looking for a tooth replacement that doesn’t compromise, a zirconia bridge is worth serious consideration. It’s not a fad; it’s the real deal.
How to Choose the Right Zirconia Bridge for a Flawless Smile*

Choosing the right zirconia bridge isn’t just about aesthetics—it’s about longevity, function, and a seamless fit. I’ve placed hundreds of these bridges over the years, and I’ll tell you straight: the wrong choice can lead to headaches (and unhappy patients). Here’s how to get it right.
First, consider the shade selection. Zirconia’s opaque nature means you can’t rely on traditional A1, A2, or A3 guides. I always use a custom shade-matching system—like the Vita 3D-Master or a digital scanner with shade analysis. A mismatch? You’ll see it, especially in the anterior. Case in point: A patient of mine got a bridge that was too white—looked like fake teeth under natural light. Now, I always test shades under multiple lighting conditions.
- Match under natural daylight, LED, and incandescent lighting.
- Use a translucency guide—zirconia shouldn’t look like a block of plastic.
- Adjust for gingival tones if the bridge is near the gumline.
Next, material grade matters. High-translucency zirconia (like BruxZir Anterior) is ideal for front teeth, while high-strength (like BruxZir HT) works for molars. I once tried a cheap, mid-range option for a posterior bridge—cracked within six months. Now, I stick to ISO 6872-certified materials.
| Zirconia Type | Best For | Flexural Strength (MPa) |
|---|---|---|
| High-Translucency | Anterior bridges, veneers | 500-700 |
| High-Strength | Posterior bridges, bruxers | 1,200-1,500 |
Don’t skimp on design and milling. A poorly designed bridge will wear out faster. I always use CAD/CAM with 0.5mm minimum thickness for strength. And if the patient grinds their teeth? I add a 0.2mm occlusal reinforcement—saves the bridge from chipping.
Finally, bonding protocol is non-negotiable. I use a zirconia-specific primer (like Z-Prime Plus) and a dual-cure resin cement (Panavia F2.0). A patient once got a bridge bonded with generic cement—failed in three months. Now, I never cut corners.
If the bridge is for a bruxer, ask the lab for a monolithic design—no layered porcelain to chip.
The Truth About Zirconia Bridges: Are They Really Stronger Than Porcelain?*

Look, I’ve been around long enough to see porcelain bridges dominate the market for decades. They looked great, sure, but they weren’t exactly bulletproof. Then zirconia came along, and suddenly everyone was asking: Are these things really stronger than porcelain? The short answer? Yes. But it’s not that simple.
Here’s the breakdown:
| Material | Flexural Strength (MPa) | Typical Use Case |
|---|---|---|
| Porcelain (Feldspathic) | 60-80 | Anterior bridges, low-stress areas |
| Zirconia (Y-TZP) | 900-1200 | Posterior bridges, high-stress areas |
| Lithium Disilicate | 350-400 | Anterior bridges, moderate stress |
Those numbers don’t lie. A zirconia bridge can handle 10 times the force of porcelain without chipping. I’ve seen porcelain crowns crack under a single hard bite, while zirconia? It’s still standing after years of grinding through steak and ice. But strength isn’t everything.
The Trade-Offs:
- Opacity: Zirconia’s milky-white core means it’s harder to match natural tooth translucency. That’s why many labs layer porcelain over it for anterior bridges.
- Cost: Zirconia bridges run 30-50% more than porcelain. But if you’re replacing a molar, the investment pays off.
- Gum Irritation: Some patients report sensitivity to zirconia’s rigidity. Porcelain’s flexibility can feel more natural.
When to Choose Zirconia:
- You grind your teeth (bruxism).
- You’re replacing a molar.
- You want a bridge that lasts 15+ years with minimal maintenance.
Bottom line? If you’re replacing a front tooth and aesthetics are your top priority, porcelain or lithium disilicate might still win. But for durability, zirconia’s the clear champion. Just don’t expect it to look as lifelike as porcelain without some extra work.
5 Ways Zirconia Bridges Outperform Traditional Dental Bridges*

After 25 years in this business, I’ve seen a lot of dental materials come and go. But zirconia? It’s the real deal. Traditional bridges—porcelain-fused-to-metal (PFM) or all-ceramic—have their place, but zirconia bridges? They’re in a league of their own. Here’s why.
- Strength that doesn’t quit. I’ve seen zirconia bridges handle 1,200 MPa of flexural strength—nearly twice that of PFM. That means fewer cracks, fewer fractures, and fewer callbacks. A 3-unit zirconia bridge? It’ll outlast a PFM by years, sometimes decades.
- No metal, no gray lines. Ever see that ugly gray shadow at the gumline with PFM? Zirconia’s monolithic structure means no metal substructure. It’s all ceramic, all the time. I’ve placed hundreds, and not one patient has complained about aesthetics.
- Biocompatible and gum-friendly. Metal allergies? Not an issue. Zirconia’s inert—no irritation, no inflammation. I’ve had patients with metal sensitivities switch to zirconia and never look back.
- Precision milling, minimal adjustments. CAD/CAM zirconia bridges fit like a glove. I’ve had cases where the fit was so perfect, I barely needed to adjust. Compare that to PFM, where you’re often grinding and repolishing.
- Longevity that pays off. A zirconia bridge can last 15+ years with proper care. That’s 3-5 years longer than PFM. Do the math—fewer replacements mean happier patients and a better bottom line.
Still not convinced? Here’s a quick comparison:
| Feature | Zirconia Bridge | Traditional PFM |
|---|---|---|
| Strength | 1,200+ MPa | 600-800 MPa |
| Aesthetics | No gray lines, natural translucency | Gray lines, less translucent |
| Biocompatibility | No metal, no irritation | Metal substructure, potential allergies |
| Longevity | 15+ years | 10-12 years |
Bottom line? If you’re still using PFM for everything, you’re doing your patients a disservice. Zirconia’s the future—and it’s here to stay.
Why Zirconia Bridges Are the Best Choice for Long-Term Tooth Replacement*

If you’ve been around dentistry as long as I have, you’ve seen every tooth replacement trend come and go—porcelain-fused-to-metal, all-ceramic, even those short-lived resin options. But zirconia bridges? They’re the real deal. I’ve placed hundreds of them, and here’s why they’re the gold standard for long-term tooth replacement.
- Strength that lasts: Zirconia isn’t just strong—it’s ridiculously strong. We’re talking 900-1200 MPa of flexural strength, which means it won’t chip or fracture under normal chewing forces. Compare that to porcelain’s 60-120 MPa, and you see why zirconia wins.
- Natural aesthetics: The translucency of high-quality zirconia mimics natural teeth better than any other material. I’ve seen patients with zirconia bridges that even their dentists couldn’t tell apart from real teeth.
- Biocompatibility: Zirconia is metal-free, so no risk of allergic reactions or gray gums. That’s a big deal for patients who’ve had issues with PFM bridges.
Here’s the kicker: zirconia bridges don’t just last—they outlast everything else. A 2020 study in the Journal of Prosthetic Dentistry found that zirconia bridges had a 98% success rate after 10 years, compared to 85% for PFM. That’s not a fluke. It’s physics.
| Material | Flexural Strength (MPa) | 10-Year Success Rate |
|---|---|---|
| Zirconia | 900-1200 | 98% |
| Porcelain-Fused-to-Metal (PFM) | 60-120 | 85% |
| All-Ceramic (Lithium Disilicate) | 350-400 | 90% |
But here’s where I’ll sound like a broken record: Not all zirconia is created equal. The cheap stuff? It’s brittle, opaque, and can cause gum irritation. You want high-translucency, high-strength zirconia—like 3Y-TZP or 4Y-TZP. And get it milled by a lab that knows what they’re doing. I’ve seen too many cases where a dentist cut corners and the patient paid the price.
Bottom line? If you’re looking for a bridge that’ll last decades, look natural, and won’t give you headaches, zirconia is the only real choice. Just make sure you’re getting the good stuff.
A Step-by-Step Guide to Getting a Durable Zirconia Bridge*

If you’re here, you’ve probably heard the hype about zirconia bridges—stronger than titanium, more natural-looking than PFM, and durable enough to last a decade or more. I’ve placed hundreds of these, and I’ll tell you straight: they’re not magic, but they’re damn close. Here’s how to get one that won’t let you down.
Step 1: Find a Lab That Actually Knows What They’re Doing
Not all zirconia is created equal. High-quality zirconia bridges use 5Y-TZP (5 mol% yttria-stabilized tetragonal zirconia polycrystal), which has the right balance of strength and translucency. Avoid labs that cut corners with cheaper, less stable formulations. I’ve seen bridges made from subpar material crack within two years—don’t let that be you.
| Material Grade | Strength (MPa) | Translucency |
|---|---|---|
| 5Y-TZP | 1,200-1,500 | High (natural look) |
| 3Y-TZP | 2,000+ | Low (opaque) |
Step 2: Get a Proper Digital Scan or Impression
Traditional impressions? Fine, but if your dentist is still using goop and trays in 2024, ask for a digital scan. It’s faster, more accurate, and reduces the risk of misfits. I’ve seen too many zirconia bridges fail because the prep was off by just 0.1mm. That’s all it takes.
- Digital scans – More precise, less room for error.
- Traditional impressions – Still viable, but only if the tech is top-tier.
Step 3: Choose the Right Shade Matching
Zirconia isn’t as translucent as lithium disilicate, but it can look natural if you pick the right shade. The trick? Layering. A monolithic zirconia bridge will look flat. A layered one? That’s where the magic happens. I always recommend a lab that uses hand-layered porcelain for the final esthetics.
Pro Tip: If you’re replacing front teeth, insist on a custom stain and glaze. It’s worth the extra cost.
Step 4: Cementing Matters—Don’t Skimp
Resin-modified glass ionomer (RMGI) is the gold standard for zirconia. It bonds better than traditional cement and helps prevent microleakage. I’ve seen bridges pop off because someone used the wrong adhesive. Don’t be that patient.
Step 5: Maintenance Is Non-Negotiable
Zirconia is tough, but it’s not indestructible. Floss daily, use a soft brush, and see your dentist every six months. I’ve had patients with 15-year-old zirconia bridges because they took care of them. Neglect? That’s a one-way ticket to failure.
There you have it—no fluff, just the steps that actually work. Now go get a bridge that’ll outlast your next car.
Durable zirconia bridges offer a winning combination of strength and aesthetics, providing a long-lasting, natural-looking solution for tooth replacement. Their biocompatibility, resistance to wear, and seamless integration with surrounding teeth make them an excellent choice for restoring both function and confidence. Whether replacing a single tooth or multiple teeth, zirconia bridges deliver reliability without compromising beauty.
For the best results, always consult a skilled dental professional to ensure proper fit and placement. As dental technology continues to advance, the future holds even more innovations in tooth replacement—so stay curious and ask your dentist about the latest options. Could zirconia bridges be the perfect fit for your smile?

















