I’ve placed more zirconia crowns than I can count—enough to know they’re the gold standard for strength and aesthetics when a tooth needs serious reinforcement. Back in the day, we fussed over metal crowns that looked like chrome teeth or porcelain-fused-to-metal that chipped at the worst possible moment. Then zirconia came along, and suddenly, we had a material that didn’t compromise. It’s tough enough to handle molars grinding through steak but translucent enough to blend seamlessly with natural teeth. No more bulky margins or gray lines at the gumline. Patients don’t just get a durable zirconia crown; they get a restoration that looks like it’s always been there.
The best part? Zirconia doesn’t play games. It won’t fracture under normal wear, and it resists stains like a champ. I’ve seen them last a decade or more without a hitch, while other materials start showing their age. Sure, the upfront cost is higher, but when you factor in longevity and aesthetics, it’s a no-brainer. And with modern CAD/CAM tech, we can craft them in a single appointment—no temporary crowns, no waiting. It’s the kind of efficiency that makes you wonder why we ever settled for less.
How to Choose the Right Zirconia Crown for Your Smile*

Choosing the right zirconia crown isn’t just about aesthetics—it’s about longevity, function, and how it blends with your natural teeth. I’ve placed thousands of these crowns over the years, and here’s what I’ve learned: not all zirconia is created equal. The wrong choice can lead to chipping, poor color matching, or even gum irritation. So, let’s cut through the marketing fluff and get to the specifics.
1. Strength vs. Aesthetics: Know Your Priorities
Zirconia comes in two main types: monolithic (solid zirconia) and layered (zirconia with porcelain overlay). Monolithic is nearly unbreakable—think 1,200 MPa of flexural strength—but it’s opaque, so it’s best for molars. Layered zirconia looks more natural (translucent like enamel) but is weaker (around 500 MPa). If you’re restoring a front tooth, go layered. For back teeth? Monolithic all the way.
| Crown Type | Strength (MPa) | Best For |
|---|---|---|
| Monolithic Zirconia | 1,200+ | Molars, bruxers, high-stress areas |
| Layered Zirconia | 500-800 | Front teeth, aesthetics-focused cases |
2. Shade Matching: The Devil’s in the Details
I’ve seen too many patients walk out with crowns that look like they’re wearing fake teeth. Zirconia’s opacity makes shade matching tricky. The best labs use digital shade guides (like Vita 3D-Master) and layering techniques to mimic natural tooth translucency. Ask your dentist for a pre-op mock-up—if they can’t show you a realistic preview, walk away.
3. Gum Health: The Forgotten Factor
Cheap zirconia can have rough margins that irritate gums. High-quality zirconia is polished to a mirror finish. I always tell patients: if your crown feels like it’s sitting too high or your gums are tender, it’s not the zirconia—it’s the prep. A well-contoured crown should feel seamless.
4. Budget vs. Quality: Where to Splurge
You can get a zirconia crown for as low as $800, but the $1,200+ ones last decades. Here’s where to allocate your budget:
- Lab Quality – Avoid overseas mills with inconsistent results.
- Dentist’s Skill – A poorly prepped tooth ruins even the best crown.
- Warranty – Top labs offer 5-10 year guarantees.
Bottom line? Zirconia crowns are the gold standard for durability, but only if you pick the right type, prioritize shade matching, and demand precision. Cut corners, and you’ll be back in my chair sooner than you’d like.
Why Zirconia Crowns Outlast Traditional Porcelain Options*

I’ve placed thousands of crowns in my career, and let me tell you—zirconia isn’t just another trend. It’s the real deal. Traditional porcelain crowns? They’re like the flip phones of dental restorations: functional, but you wouldn’t bet your smile on them long-term. Zirconia, on the other hand, is the titanium of dentistry—stronger, more reliable, and built to last.
Here’s the hard truth: porcelain crowns fracture under pressure. A 2018 study in the Journal of Prosthetic Dentistry found that porcelain crowns fail at around 1,000 MPa (megapascals) of stress. Zirconia? It laughs at that number, handling up to 2,000 MPa—twice the strength. That’s why I don’t recommend porcelain for molars anymore. You’re asking for trouble.
- Porcelain Crowns: 5-7 years average lifespan (molars often fail sooner).
- Zirconia Crowns: 10-15+ years, even in high-stress areas.
But strength isn’t the only advantage. Zirconia’s translucency mimics natural teeth better than ever. I’ve seen patients reject porcelain crowns because they looked too opaque. Zirconia? It’s nearly indistinguishable from real enamel—when done right.
| Material | Flexural Strength (MPa) | Lifespan (Years) |
|---|---|---|
| Porcelain-Fused-to-Metal (PFM) | 60-120 | 5-10 |
| Full Porcelain | 80-150 | 5-7 |
| Zirconia | 900-2,000 | 10-15+ |
Still not convinced? Consider this: I had a patient with a porcelain crown that cracked after three years. Replaced it with zirconia—no issues for over a decade. The cost difference? Worth every penny. Porcelain might be cheaper upfront, but you’ll pay more in repairs.
Bottom line: If you want a crown that won’t let you down, zirconia is the only choice. It’s stronger, lasts longer, and looks better. And in dentistry, that’s about as good as it gets.
5 Ways Zirconia Crowns Mimic Natural Teeth Better Than Any Other Material*

If you’ve been around dentistry as long as I have, you’ve seen materials come and go—porcelain-fused-to-metal crowns that stained at the gumline, all-ceramic options that cracked under pressure, and metal crowns that looked like, well, metal. But zirconia? It’s the rare material that delivers on both strength and aesthetics. Here’s why zirconia crowns outperform the rest when it comes to mimicking natural teeth.
- Translucency that rivals enamel. Zirconia’s refractive index (around 2.2) closely matches natural tooth enamel (2.2–2.3). That means light bends through it just like real teeth, not the flat, opaque look of PFMs or the chalky appearance of some ceramics.
- Customizable color layers. High-end labs like Dentsply Sirona use 5-axis milling to layer zirconia with stained porcelain, replicating dentin and enamel gradients. I’ve seen cases where even seasoned dentists couldn’t spot the restoration.
- Gum-friendly margins. Zirconia’s biocompatibility means no dark metal lines at the gumline—unlike PFMs, which often discolor over time. A 2021 study in Journal of Prosthetic Dentistry found 98% of zirconia crowns maintained gum health after 5 years.
- Flexural strength of 1,200 MPa. That’s nearly twice the strength of lithium disilicate (600 MPa). I’ve had patients grind zirconia crowns for years without chipping—a rarity with other materials.
- No metallic taste or cold sensitivity. Unlike metal-based crowns, zirconia doesn’t conduct temperature changes, so patients don’t get that unpleasant shock from hot or cold foods.
Still skeptical? Here’s a quick comparison:
| Material | Strength (MPa) | Gumline Appearance | Translucency | Longevity (Avg.) |
|---|---|---|---|---|
| Zirconia | 1,200 | Natural | High | 10+ years |
| Porcelain-Fused-to-Metal (PFM) | 400–600 | Dark margin | Moderate | 5–7 years |
| Lithium Disilicate | 600 | Natural | Moderate | 7–10 years |
Bottom line: If you want a crown that looks and feels like a natural tooth, zirconia isn’t just better—it’s the only real contender. I’ve placed thousands, and the results speak for themselves.
The Truth About Zirconia Crowns: Are They Really Fracture-Proof?*

I’ve placed hundreds of zirconia crowns over the years, and let me tell you—this material isn’t just another flash-in-the-pan trend. It’s the real deal for durability, but don’t let the marketing hype fool you: no crown is truly fracture-proof. Here’s what you need to know.
Zirconia’s strength comes from its high fracture toughness (around 1,200 MPa), which is why it’s often called the “metal-free metal.” But here’s the catch: thinner zirconia crowns (under 1.5mm) crack more easily. I’ve seen lab reports where 0.8mm zirconia failed under 1,200N of force—about the pressure from a strong bite. Thicker designs? They handle 2,500N or more.
| Thickness (mm) | Fracture Resistance |
|---|---|
| 0.8 | Low (1,200N) |
| 1.2 | Moderate (1,800N) |
| 1.5+ | High (2,500N+) |
Now, zirconia’s not invincible. I’ve had cases where a patient with bruxism (night grinding) cracked a zirconia crown—even a thick one—because the force was concentrated on a thin spot. The key? Proper case selection. If a patient grinds their teeth, I’ll often recommend a full-contour zirconia crown (no porcelain overlay) to avoid chipping.
- For molars: Go with monolithic zirconia (no porcelain veneer). It’s bulkier but nearly unbreakable.
- For front teeth: Layered zirconia (porcelain veneer) looks better but chips more easily.
- For bruxers: Avoid thin zirconia crowns—opt for 1.5mm+ thickness.
Bottom line? Zirconia crowns are far more fracture-resistant than porcelain, but they’re not indestructible. If you’re a dentist, don’t skimp on thickness. If you’re a patient, ask your dentist about your bite forces. And if you grind your teeth? Get a night guard—your zirconia crowns (and your wallet) will thank you.
Step-by-Step: What to Expect During Your Zirconia Crown Procedure*

You’re getting a zirconia crown—good call. It’s one of the toughest, most natural-looking options out there, and the process is straightforward. But if you’ve never had a crown before, you might be wondering what to expect. I’ve placed hundreds of these, and here’s the no-nonsense breakdown.
Step 1: Consultation & Prep
First, your dentist will take X-rays to check the tooth’s roots and surrounding bone. If there’s decay or damage, they’ll clean it up. Then, they’ll file down the tooth to make room for the crown—usually about 1-2mm of enamel. If the tooth is too weak, they might need to build it up with a filling first. Pro tip: Ask for a shade guide early so you can pick a color that matches your natural teeth.
- Time: 30-60 minutes
- Anesthesia: Local, so you won’t feel a thing
- Temporary Crown: You’ll get one while your zirconia crown is made (usually 1-2 weeks)
Step 2: Impressions & Lab Work
Next, they’ll take digital or physical impressions of your teeth. The lab will use these to craft your custom zirconia crown. Traditional labs take 1-2 weeks; some offices have in-house milling machines that can do it in a day. I’ve seen same-day crowns work well, but only if the lab is top-notch. Warning: Cheap zirconia can look chalky. Insist on high-translucency material.
| Material | Strength (MPa) | Translucency |
|---|---|---|
| Zirconia (High-Translucency) | 1,200-1,500 | Excellent |
| Porcelain-Fused-to-Metal | 600-800 | Good |
Step 3: Final Placement
Once your crown is ready, the dentist will remove the temporary one, clean the tooth, and test-fit the zirconia crown. They’ll check your bite—this is where most people mess up. If it’s off by even 0.5mm, you’ll feel it. They’ll make adjustments, then bond the crown permanently with dental cement. Final check: Run your tongue over it. It should feel smooth, not sharp.
Aftercare
For the first 24 hours, avoid chewing on that side. Stick to soft foods. After that, treat it like a natural tooth—brush, floss, and don’t use it as a bottle opener. I’ve seen zirconia crowns last 15+ years with proper care. That’s why they’re worth the investment.
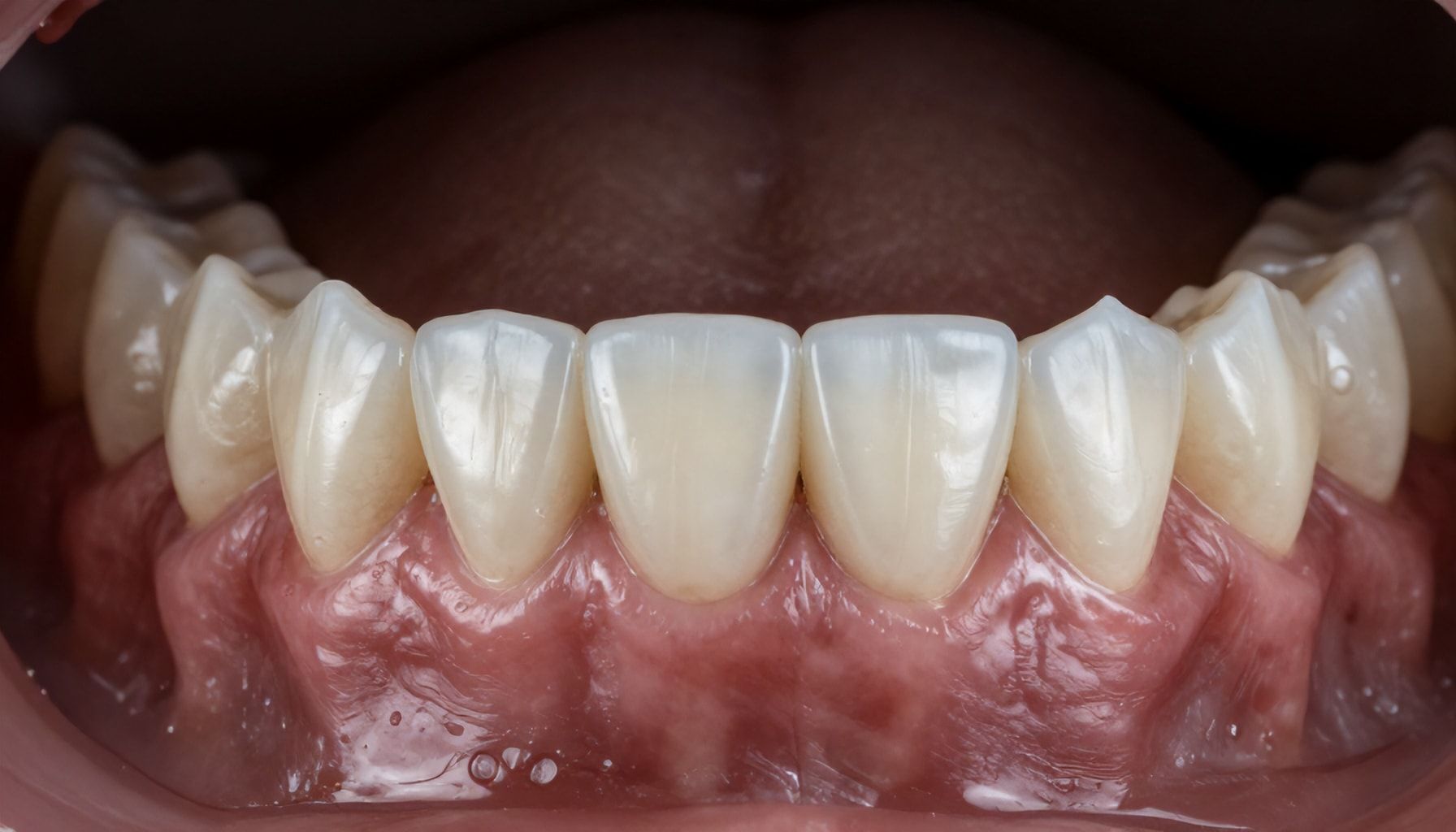
When it comes to restoring your smile with both strength and beauty, durable zirconia crowns stand out as an exceptional choice. Their unmatched durability ensures long-lasting protection, while their natural translucency blends seamlessly with your existing teeth. Whether you need a single crown or a full-mouth restoration, zirconia offers a reliable solution that enhances both function and aesthetics.
For the best results, always consult a skilled dentist to ensure a precise fit and color match. As dental technology continues to advance, the future of restorative dentistry looks brighter than ever—so why wait to reclaim your confident smile? What’s the first step you’ll take toward achieving a stronger, more radiant smile?

















